Cas cliniques enfants
Les cas présentés ont été traités en technique visible ou invisible. Dans certains cas, des dents ont dû être extraites. Le traitement orthodontique permet de profiter des espaces pour aligner correctement toutes les dents, sans laisser d'espace en fin de traitement.
Rendez-vous sur notre compte INSTAGRAM pour découvrir bien d’autres cas cliniques.
Cas cliniques - Enfants
Cas 1 : Occlusion inversée (Classe III latérale)
Situation "Avant Traitement": Emboîtement inversé des arcades latérales.
L'emboîtement des dents latérales se fait à l'envers. Normalement la mâchoire du haut s'emboîte sur celle du bas comme un couvercle sur une boîte. Les fonctions ne peuvent pas se dérouler correctement. L’arcade supérieure ne recouvre pas l’inférieure, perturbant les fonctions masticatoires. Cette occlusion inversée latérale nécessite souvent des appareillages fonctionnels dès le jeune âge
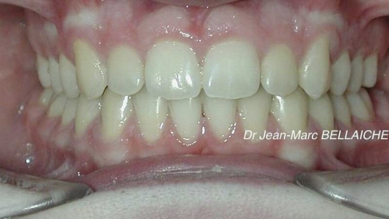
Cas 2 : Encombrement dentaire sévère
Situation "Avant Traitement" : cas d'encombrement associé à un recouvrement excessif des incisives supérieures sur les inférieures empêchant le déroulement normal des fonctions et pouvant être à l'origine de "déchaussements".
Cas 3 : Encombrement avec recouvrement incisif
Situation "Avant Traitement" : cas d'encombrement associé à un recouvrement excessif des incisives supérieures sur les inférieures.
Ce type de malocclusion peut nuire aux fonctions occlusales normales et peut être à l'origine de "déchaussements".
Cas 4 : Articulé antérieur croisé
Situation "Avant Traitement": articulé antérieur croisé.
Importante perturbation fonctionnelle : contact croisé entre incisives supérieures et inférieures. Cela déséquilibre la fonction masticatoire, souvent accompagné d’une compaction des muscles orofaciaux.
Cas 5 : Béance antérieure
Situation "Avant Traitement": Béance antérieure.
Absence de contact entre incisives supérieures et inférieures : les fonctions ne peuvent se dérouler correctement. La mastication est très peu efficace.
Cas 6 : Malocclusion de Classe III - Enfant
Situation "Avant Traitement": Malocclusion de Classe III.
La malocclusion de Classe III en orthodontie, se caractérise par une protrusion des dents inférieures par rapport aux dents supérieures. Cette malformation peut engendrer une apparence de prognathisme mandibulaire et affecter tant l’esthétique que la fonctionnalité de l’appareil masticatoire.
Cas 7 : Classe II avec encombrement sévère – Traitement sans extraction
Situation "Avant Traitement" : Classe II dentaire associée à un encombrement important de l’arcade supérieure, avec canines enclavées.
Cette jeune patiente présentait un très gros encombrement au maxillaire, rendant l’éruption des canines difficile. Après un diagnostic complet (photos, empreintes 3D, radio, examen du visage et endobuccal), un traitement sans extraction a été choisi. L’objectif était de mettre en place les canines tout en préservant l’équilibre des arcades. Un exemple de traitement conservateur possible même en présence d’un encombrement marqué.
