ACCUEIL
NOTRE CABINET
NOTRE CABINET
ACCÈS
SOS
RENDEZ-VOUS
1ᵉʳ RDV DOCTOLIB
1er rdv + PORTAIL PATIENT
NOS CAS CLINIQUES
CAS CLINIQUES ENFANTS
CAS CLINIQUES ADULTES
ESPACE PEDAGOGIQUE
NOS FICHES CONSEILS
NOS VIDÉOS PÉDAGOGIQUES
NOS VIDEOS PRIVEES
LANGUE
Anglais
Espagnol
RÉSEAUX SOCIAUX
FACEBOOK
INSTAGRAM
CONTACT
Appeler
MENU
Localisation
Orthodontiste Montmartre 75018 - Drs Jean-Marc BELLAICHE & Deborah ELSTEJN à Paris 18
Spécialistes Qualifiés en Orthodontie - Montmartre 75018 Paris
Orthodontiste Montmartre 75018 - Drs Jean-Marc BELLAICHE & Deborah ELSTEJN à Paris 18
Spécialistes Qualifiés en Orthodontie - Montmartre 75018 Paris
4 rue Girardon
75018
PARIS
+33153285328
ACCUEIL
NOTRE CABINET
NOTRE CABINET
ACCÈS
SOS
RENDEZ-VOUS
1ᵉʳ RDV DOCTOLIB
1er rdv + PORTAIL PATIENT
NOS CAS CLINIQUES
CAS CLINIQUES ENFANTS
CAS CLINIQUES ADULTES
ESPACE PEDAGOGIQUE
NOS FICHES CONSEILS
NOS VIDÉOS PÉDAGOGIQUES
NOS VIDEOS PRIVEES
LANGUE
Anglais
Espagnol
RÉSEAUX SOCIAUX
FACEBOOK
INSTAGRAM
CONTACT
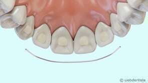
Fil de contention
Vidéos 3D
Partager
Twitter
Partager
Partager
Envoyer
Copier
Orthodontiste Montmartre - Drs Jean-Marc BELLAICHE & Deborah ELSTEJN à Paris 18
4 rue Girardon
75018
PARIS
+33153285328
Politique de confidentialité et charte cookie
Mentions légales
Conditions Générales Utilisation
Charte déontologique
Ordre national
Annuaires chirurgiens dentistes
Plan du site
Hygiène & Asepsie
Honoraires & Remboursement
PORTAIL PATIENT
1er RDV Doctolib
Rechercher dans le blog Blog
Newsletter du Cabinet
Connexion
Vidéo en cours de lecture