Nos cas cliniques : Drs Jean-Marc Bellaiche et Deborah Elstejn, orthodontistes spécialistes à Montmartre (Paris 75018)
Les cas présentés (adultes ou enfants) ont été traités en technique visible ou invisible. Dans certains cas, des dents ont dû être extraites. Le traitement orthodontique permet de profiter des espaces pour aligner correctement toutes les dents, sans laisser d'espace en fin de traitement.
Rendez-vous sur notre compte INSTAGRAM pour découvrir bien d’autres cas cliniques.
Cas cliniques - Enfants
Cas 1 : Occlusion inversée (Classe III latérale)
Situation "Avant Traitement": Emboîtement inversé des arcades latérales.
L'emboîtement des dents latérales se fait à l'envers. Normalement la mâchoire du haut s'emboîte sur celle du bas comme un couvercle sur une boîte. Les fonctions ne peuvent pas se dérouler correctement. L’arcade supérieure ne recouvre pas l’inférieure, perturbant les fonctions masticatoires. Cette occlusion inversée latérale nécessite souvent des appareillages fonctionnels dès le jeune âge
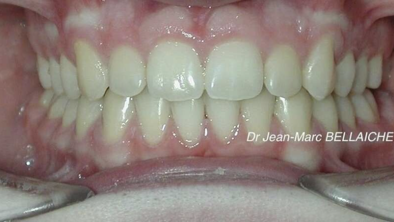
Cas 2 : Encombrement dentaire sévère
Situation "Avant Traitement" : cas d'encombrement associé à un recouvrement excessif des incisives supérieures sur les inférieures empêchant le déroulement normal des fonctions et pouvant être à l'origine de "déchaussements".
Cas 3 : Encombrement avec recouvrement incisif
Situation "Avant Traitement" : cas d'encombrement associé à un recouvrement excessif des incisives supérieures sur les inférieures.
Ce type de malocclusion peut nuire aux fonctions occlusales normales et peut être à l'origine de "déchaussements".
Cas 4 : Articulé antérieur croisé
Situation "Avant Traitement": articulé antérieur croisé.
Importante perturbation fonctionnelle : contact croisé entre incisives supérieures et inférieures. Cela déséquilibre la fonction masticatoire, souvent accompagné d’une compaction des muscles orofaciaux.
Cas 5 : Béance antérieure
Situation "Avant Traitement": Béance antérieure.
Absence de contact entre incisives supérieures et inférieures : les fonctions ne peuvent se dérouler correctement. La mastication est très peu efficace.
Cas 6 : Malocclusion de Classe III - Enfant
Situation "Avant Traitement": Malocclusion de Classe III.
La malocclusion de Classe III en orthodontie, se caractérise par une protrusion des dents inférieures par rapport aux dents supérieures. Cette malformation peut engendrer une apparence de prognathisme mandibulaire et affecter tant l’esthétique que la fonctionnalité de l’appareil masticatoire.
Cas 7 : Classe II avec encombrement sévère – Traitement sans extraction
Situation "Avant Traitement" : Classe II dentaire associée à un encombrement important de l’arcade supérieure, avec canines enclavées.
Cette jeune patiente présentait un très gros encombrement au maxillaire, rendant l’éruption des canines difficile. Après un diagnostic complet (photos, empreintes 3D, radio, examen du visage et endobuccal), un traitement sans extraction a été choisi. L’objectif était de mettre en place les canines tout en préservant l’équilibre des arcades. Un exemple de traitement conservateur possible même en présence d’un encombrement marqué.
Cas cliniques - Adultes
Cas 1 : Malocclusion de Classe II
Situation "Avant Traitement" : Classe II squelettique avec supraclusion sévère.
Ce patient adulte présentait un important décalage entre les mâchoires, avec des incisives supérieures très reculées et un recouvrement marqué des dents inférieures.
Chez l’adulte, la correction de ce type de malocclusion nécessite souvent un traitement orthodontico-chirurgical, la croissance osseuse n’étant plus active. L’objectif est de retrouver une occlusion stable, fonctionnelle et esthétique.
Cas 2 : Malocclusion de Classe II
Situation "Avant Traitement" : Classe II squelettique avec mâchoire inférieure en retrait, associée à un encombrement dentaire important.
Ce patient adulte présentait un fort décalage entre les mâchoires, perturbant à la fois l’esthétique du sourire et les fonctions masticatoires. Le traitement a nécessité l’extraction de 4 prémolaires, une chirurgie bimaxillaire et un alignement par gouttières orthodontiques. Certaines molaires malformées seront reconstituées à l’issue du traitement pour une occlusion complète et fonctionnelle.
Cas 3 : Malocclusion de Classe II – Traitement orthodontico-chirurgical
Situation "Avant Traitement" : Classe II squelettique avec mâchoire inférieure en fort retrait.
Ce patient adulte présentait un important décalage entre les mâchoires, dû à une croissance mandibulaire insuffisante. Le traitement a nécessité une approche pluridisciplinaire, associant orthodontie et chirurgie orthognathique. Cette combinaison a permis de réaligner les bases osseuses et d’obtenir une occlusion stable, tant sur le plan fonctionnel qu’esthétique.
Cas 4 : Projection des dents antérieures – Traitement par technique linguale
Situation "Avant Traitement" : Projection marquée des incisives supérieures avec profil convexe.
Cette jeune patiente présentait un sourire très avancé vers l’avant, sans encombrement majeur, mais avec un vrai retentissement esthétique et fonctionnel. Le traitement a combiné l’extraction de 4 prémolaires et un appareil lingual, collé sur la face interne des dents. Des caches provisoires ont permis de masquer les espaces d’extraction, puis ont été retirés une fois les espaces refermés. Résultat : un visage transformé, un sourire harmonieux et une occlusion stable.
Cas 5 : Traitement orthodontique et esthétique – Cas parodontal
Situation "Avant Traitement" : Espaces entre les dents, dénivellation des hauteurs dentaires et parodontite.
Chez cette patiente adulte, l’objectif était de refermer les espaces, d’harmoniser le sourire et de compenser une perte osseuse liée à une maladie parodontale. Après stabilisation de la parodontite, le traitement orthodontique a été mené avec gouttières transparentes à forces douces, respectueuses du support osseux. Il a été complété par un blanchiment dentaire et un remodelage esthétique pour redonner au sourire équilibre et naturel.
