L’orthodontie n’est pas réservée aux enfants. De plus en plus d’adultes consultent pour aligner leurs dents ou corriger des problèmes fonctionnels. Au cabine...
L'orthodontie de l'adulte
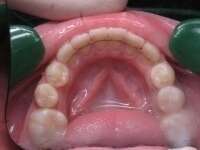
L’orthodontie linguale est une technique innovante qui séduit de nombreux adultes en quête de discrétion. Contrairement aux appareils traditionnels, les bagu...
La chirurgie orthognatique s’adresse aux patients qui ont un désalignement des mâchoires ou dont l'occlusion est inadapté.
Il ne s’agit pas de penser : « comment redresser mes dents ? » mais plutôt de savoir « pourquoi vos dents ne sont-elles pas sorties alignées? »
Pour certains patients, et plus particulièrement pour le patient adulte, le souci d’esthétique pendant le traitement est un élément majeur à prendre en compte.
Invisalign® est un traitement orthodontique basé sur le port successif d’une série de gouttières transparentes en plastique fabriquées à partir des empreintes dentaires du patient. Le Dr Bellaiche au sein de son cabinet à proximité de Paris 9 ème et Saint-Ouen, possède tous les instruments pour pratiquer les traitements Invisalign.
Dans certains types de traitements, des petites vis peuvent être placées dans la partie osseuse de la mâchoire afin d’avoir un ancrage orthodontique solide.
Le remodelage dentaire, ou stripping, permet de modifier la dimension des dents en diminuant très légèrement l’épaisseur de l’émail.











